Pain Procedures in Spine: An Overview

Chronic back pain affects millions worldwide, significantly impacting quality of life. Pain procedures in the spine offer relief when conservative treatments fail. These range from minimally invasive techniques to surgical interventions that alleviate pain and improve function.

Epidural Steroid Injections

Epidural Steroid Injections (ESI)

ESI involves injecting corticosteroid medication into the epidural space around the spinal cord and nerve roots to reduce inflammation and alleviate pain caused by conditions such as herniated discs, spinal stenosis, and sciatica. Typically, they provide temporary relief to facilitate rehabilitation efforts.

Transforaminal Nerve Root Block

Transforaminal Nerve Root Block

A minimally invasive procedure involving an injection of a local anesthetic and corticosteroid into the spinal nerve's exit point. It treats sciatica, herniated discs, and spinal stenosis, reducing inflammation and improving mobility.

Facet Joint Injections

Facet Joint Injections and Medial Branch Blocks

These injections reduce pain in the small facet joints between vertebrae. Facet joint injections deliver anesthetic and steroids directly into the joints, while medial branch blocks target the nerves supplying these joints.

Radiofrequency Ablation

Radiofrequency Ablation (RFA)

This technique ablates nerve fibers responsible for carrying pain signals, offering long-term relief for up to a year. It is often used following successful medial branch blocks to treat chronic pain from the facet joints.

Spinal Cord Stimulation

Spinal Cord Stimulation (SCS)

SCS involves implanting a device that sends electrical impulses to the spinal cord, blocking pain signals. It is typically used for conditions like failed back surgery syndrome and neuropathic pain. A trial period with an external stimulator precedes permanent implantation.

Vertebroplasty and Kyphoplasty

Vertebroplasty and Kyphoplasty

These procedures treat spinal compression fractures, often due to osteoporosis. Vertebroplasty injects cement into fractured vertebrae, while kyphoplasty creates space using a balloon before cement injection to restore vertebral height and stability.

Considerations and Risks

While spine pain procedures offer significant relief, potential complications include infection, bleeding, nerve damage, and allergic reactions to medications. Proper patient selection and thorough diagnostic evaluation are crucial to minimize risks and ensure successful outcomes.

Conclusion

Pain procedures in the spine are essential in modern pain management. When appropriately selected, these interventions can provide significant pain relief, improve function, and enhance quality of life. They should be part of a comprehensive treatment plan, including physical therapy and lifestyle modifications.


Endoscopic Spine Surgery

Endoscopic spine surgery is an advanced, minimally invasive technique used to treat various spinal conditions. It represents a significant shift from traditional open spine surgeries, offering patients a safer and less invasive alternative, with reduced recovery times and fewer complications. This overview explores the principles, benefits, techniques, and considerations of endoscopic spine surgery.

Principles of Endoscopic Spine Surgery

Endoscopic spine surgery utilizes an endoscope—a flexible tube equipped with a camera and light—to visualize the surgical area through small incisions. This approach allows surgeons to access the spine with minimal disruption to surrounding muscles and tissues. The endoscope transmits images to a monitor, providing the surgeon with a clear view of the spinal structures, facilitating precise surgical interventions.

Benefits of Endoscopic Spine Surgery

Techniques in Endoscopic Spine Surgery

Considerations and Limitations

While endoscopic spine surgery offers numerous benefits, it is not suitable for all patients or conditions. Careful patient selection is critical to ensure optimal outcomes. Factors such as the severity of the condition, overall health, and specific anatomical considerations play a role in determining candidacy for this procedure.

Additionally, endoscopic spine surgery requires specialized training and equipment, which limits its availability in certain regions. Surgeons must have expertise in endoscopic techniques to ensure successful outcomes and minimize potential risks.

Conclusion

Endoscopic spine surgery represents a significant advancement in spinal care, offering a minimally invasive alternative to traditional open surgery. With benefits such as faster recovery, reduced scarring, and decreased risk of complications, it has become an attractive option for patients with various spinal conditions.

However, careful patient selection and the expertise of the surgical team are crucial to achieving the best outcomes. As technology and techniques continue to evolve, endoscopic spine surgery is likely to play an increasingly prominent role in managing spinal disorders, improving the quality of life for patients worldwide.


Cervical Spine Surgery

Cervical spine surgery is a critical procedure performed to address various conditions affecting the cervical spine, which comprises the vertebrae in the neck region. These conditions can include degenerative disc disease, cervical radiculopathy due to herniated disc, myelopathy due to cervical stenosis, and spinal instability, among others. The primary objectives of cervical spine surgery are to relieve pain, restore function, and prevent further neurological deterioration.

Types and Indications for Cervical Spine Surgery

Cervical spine surgery is typically indicated when conservative treatments such as physical therapy, medications, and injections fail to alleviate symptoms, or when there is a risk of permanent nerve damage. The main types of cervical spine surgery include:

Surgical Techniques

Cervical spine surgery can be performed using various techniques, each with its specific approach and objectives. The choice of technique depends on the patient’s condition, the surgeon's expertise, and the desired outcomes:

Benefits of Cervical Spine Surgery

Cervical spine surgery can offer several significant benefits, including:

Risks and Considerations

As with any surgical procedure, cervical spine surgery carries potential risks and complications, including:

Conclusion

Cervical spine surgery is a crucial intervention for addressing debilitating spinal conditions that impact patients' quality of life. When performed by experienced surgeons, it can provide significant relief and improve function, enabling patients to resume their daily activities. However, it is essential to carefully evaluate the risks and benefits and consider conservative treatments before opting for surgery. As surgical techniques and technologies continue to advance, the outcomes of cervical spine surgery are likely to improve further, offering even greater benefits to patients in need.


Infection

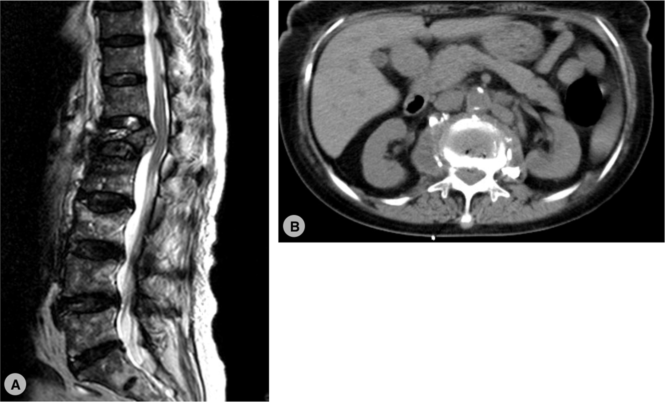
Infective spondylodiscitis is a rare but serious infection of the intervertebral discs and the adjacent vertebrae in the spine. It occurs when bacteria, fungi, or other pathogens invade these areas, leading to inflammation and potential damage to the spinal structures. This condition is most commonly caused by bacterial infections, particularly from organisms like Staphylococcus aureus or Escherichia coli.

In India, the spondylodiscitis caused by tubercle bacilli is fairly commonly known as Koch’s / Potts Spine.

It can result from a direct infection following surgery, trauma, or an intravenous drug use, or through hematogenous spread from another infected part of the body.

It most commonly involves the dorsal spine or dorsolumbar junction.

The symptoms of infective spondylodiscitis typically include severe back pain, fever, and difficulty moving, which may worsen over time if not treated. Patients may also experience neurological symptoms like numbness, weakness, or paralysis if the infection spreads to the spinal cord.

Diagnosis usually involves imaging studies such as MRI, along with blood cultures and biopsy to identify the specific pathogen causing the infection.

Treatment of infective spondylodiscitis generally involves long-term antibiotic therapy, often administered intravenously, followed by oral antibiotics

In severe cases, with spine instability or neurological symptoms like numbness, weakness, or paralysis and bowel/bladder involvement surgery is be required to drain abscesses, remove infected tissue, or stabilize the spine.

If left untreated, the infection can lead to permanent spinal damage, abscess formation, or even sepsis, a life-threatening condition. Early diagnosis and prompt treatment are essential for a favourable outcome.

Infective spondylodiscitis remains a challenging condition, requiring a multidisciplinary approach for effective management. Awareness of its symptoms and timely intervention are crucial for preventing long-term complications.


Lumbar Spine Surgery: An Overview

Lumbar spine surgery is often recommended for patients experiencing severe back pain or dysfunction due to conditions like degenerative disc disease, herniated discs, spinal stenosis, spondylolisthesis or degenerative lumbar scoliosis. This procedure aims to alleviate pain, restore function, and improve the patient’s quality of life.

Indications for Lumbar Spine Surgery

Before surgery, patients must undergo a thorough evaluation, including physical exams and imaging tests, such as X-rays or MRIs. The surgeon will explain the specific condition and the type of surgery that would be most beneficial. Common types of lumbar spine surgery include discectomy (removal of a herniated disc), laminectomy (removal of part of the vertebra to relieve pressure on the spinal cord), instrumentation (putting pedicle screw in vertebra) and spinal fusion (joining two or more vertebrae to stabilize the spine).

The lumbar spine surgery can be Minimally Invasive (Endoscopic, Tubular) or traditional open surgery chosen by the surgeon to address the patient condition/pathology.

Patients should understand that while lumbar spine surgery can significantly reduce pain, recovery varies from person to person. Post-surgery rehabilitation, including physical therapy, is crucial for regaining strength and mobility. It’s essential to follow post-operative instructions, avoid heavy lifting, and gradually increase activity as directed by the surgeon.

Possible risks include infection, blood clots, nerve injury, and incomplete pain relief. Therefore, discussing these risks and potential benefits with the surgical team is essential for making an informed decision.

In conclusion, lumbar spine surgery can be an effective treatment for chronic back pain, but careful planning, realistic expectations, and proper rehabilitation are key to achieving the best possible outcomes. Understanding the process and being proactive in care can help patients navigate their recovery successfully.


Traumatic Spine Surgery: Challenges and Advances

Traumatic spine surgery is a specialized field focused on treating injuries to the spinal column and spinal cord resulting from trauma. These injuries can arise from various causes, including vehicular accidents, falls, sports injuries, or acts of violence. The primary goal of traumatic spine surgery is to stabilize the spine, relieve pressure on the spinal cord and nerves, and restore as much function as possible. Understanding the complexities, advancements, and challenges involved in these procedures provides valuable insights into spinal trauma care.

Nature and Impact of Spinal Trauma

Spinal trauma can lead to a range of injuries, from fractures and dislocations of the vertebrae to severe spinal cord injuries (SCI) that may result in partial or complete paralysis. Beyond the physical damage, these injuries often affect the psychological and social aspects of a patient's life. Immediate and effective treatment is crucial to minimize long-term disabilities and improve the overall quality of life for affected individuals.

Indications for Traumatic Spine Surgery

Surgical intervention is often required in cases where the spine is unstable, there is significant compression of neural elements, or when conservative treatment fails to provide adequate results. Common indications for traumatic spine surgery include:

Challenges in Traumatic Spine Surgery

Traumatic spine surgery is inherently complex and presents several challenges, including:

Advances in Surgical Techniques

Recent advancements in technology and surgical techniques have significantly improved outcomes in traumatic spine surgeries:

Rehabilitation and Recovery

Recovery from traumatic spine surgery requires a multidisciplinary approach, including physical therapy, occupational therapy, and psychological support. Rehabilitation focuses on maximizing functional independence, improving mobility, and managing pain. The extent of recovery depends on the severity of the initial injury, the success of the surgical intervention, and the individual’s overall health and motivation.

Conclusion

Traumatic spine surgery plays a critical role in managing spinal injuries resulting from trauma. Despite the challenges, advances in surgical techniques and technologies have greatly enhanced the ability to stabilize the spine, relieve neural compression, and improve patient outcomes. A comprehensive approach involving timely surgical intervention, rehabilitation, and ongoing support is essential for optimizing recovery and enhancing the quality of life for individuals affected by spinal trauma. Continued research and innovation in the field offer hope and improved prognoses for those suffering from these life-altering injuries.